The Vomiting Chocolate Lab
Written by Victoria T. • 2017 Scholar
History From Owner

Canelo is a 3-year-old, intact male, Labrador retriever. Below are the abnormalities his owners noticed beginning today:
- Vomited several times
- Not interested in eating
- Straining to defecate
- No diarrhea
Physical Exam
After receiving the history from Canelo’s owner, Dr. Dan Thom- sen performed a physical exam. Below are the abnormalities he noted:
- Lethargic, responsive to stimuli
- Tense and painful abdomen
Canelo's Test Results

CBC Result: Complete blood counts (CBCs) look at a patient’s red and white blood cells.
- Hemoconcentrated RBCs: evidence of dehydration
- Leukocytosis with mature neutrophilia and monocytosis: a sign of inflammation
Chem Result: Chemistry panels examine measures of organ function.
- Hyperglobulinemia and ? ALT: indicates inflammation
- ? Amylase and Abnormal cPL: can be a sign of intestinal disease
- ? Chloride: caused by vomiting
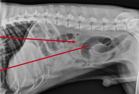
Radiology Result: Radiographs (X- rays) are electromagnetic waves that pass through patients to form an im- age of the internal structures.
- Intraluminal textile material in the small intestine: The alternating white and grey stripes in the small intestine are a pattern that fabric materials commonly form. (top arrow)
- Small intestine gas-filled and dilated: The dark tubular structures in Ca- nelo’s abdomen are dilated intes- tines. Dilated intestines can be evi- dence of an intestinal obstruction caused by a foreign body. (lower arrow)
Diagnosis
With the combined patient history, physical exam findings, and lab results, Canelo was diagnosed with an intestinal obstruction due to a textile foreign body. Foreign bodies occur when pets consume items that do not readily pass through their gastrointestinal tract.
Surgery
Dr. Thomsen recommended an abdominal exploratory surgery for Canelo. (1) Canelo’s abdomen or belly was shaved and prepared for an incision. (2) An incision was made through his skin and muscles to ex- pose his abdominal cavity. (3) The abdomen was explored and Dr. Thomsen found the foreign body ob- struction in the small intestine. (4) An incision was made into the intestine and a small cotton sock was removed. (5) (6) The intestine was closed with sutures and the abdominal incision was closed with su- tures and staples. (7) A bandage was placed over the staples to keep the incision clean and help the skin heal. Canelo was fitted with a cone collar to prevent him from licking his surgical site and his staples were removed 12 days later.

Foreign Body Prognosis
Most of the time, the prognosis for pets that have gastrointestinal blockage is excellent. However, overall prognosis depends on several factors such as:
- The duration of obstruction
- The location, size, shape, and characteristics of the object
- Whether or not the object caused secondary illness
- The health of the pet prior to ingestion of the object
In Canelo’s case, his obstruction was caught early and was able to be removed before any permanent damage occurred to his intestinal tract. His owners were advised to prevent his access to potentially in- gestible foreign bodies, such as socks!

